Our lab aims to understand social cognition: what cognitive and neural processes let us learn from other humans, learn about other humans, and make choices involving other humans? How do domain-general processes (reward-based reinforcement, valuation, habit, generalization) intersect with social processes (impression formation, empathy, morality, social identity)?

Next, we aim to use these insights to characterize social behavior. How are patterns of social learning expressed in people’s cooperation, affiliation, or social networks? How do they relate to people’s social well-being? How are these behaviors shaped by social environments?

Finally, we are interested in applying these insights to better understand and impact societal challenges including economic inequality, intergroup relations, and environmental sustainability.

Our lab uses a multi-level approach to understand these phenomena across behavior, the mind, and the brain. We merge social psychological approaches and computational neuroscience approaches, including behavioral experiments, economic games, computational modeling, and neuroimaging.
More details on our work can be found below.
We learn about other people by interacting with them: we engage with them and learn from their responses. This process resembles reinforcement learning–a cycle in which we try actions, experience rewarding consequences, and learn whether we should try the same action again.
In social interactions, however, we can also appreciate the character traits another person displays. For example, a friend who buys us lunch may be perceived not only as rewarding, but also as generous. Our work finds that people form both reward associations and trait impressions through interaction, using computational models of learning, fMRI and social psychological measures.
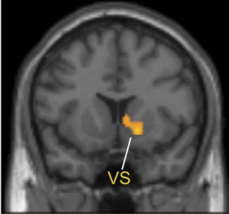
Recent directions include:

Ventral striatum encodes key learning signals in social interactions. Image from Hackel, Doll, & Amodio (2015).
Once we learn about others, we have to decide how to interact with them in new situations–to help them, spend time with them, or ask them for advice. We study how learning gives rise to these decisions.
One focus of this work is interaction decisions–deciding who to pick as a partner for cooperative exchange. A second focus is prosocial decisions: what psychological and neural processes promote kindness and cooperation, like sharing with others or contributing to public goods?
Recent directions include:

Social decisions require estimating the value of interacting with a partner, encoded in vmPFC. Image from a commentary on our work by Hsu & Jenkins (2015).
Social groups fulfill key needs for us. They provide a sense of belonging, certainty about how to navigate the world, and support. Our sense of identification with a group can therefore set the stage for how we learn and make decisions relevant to that identity.
Our lab explores how social group membership influences learning and decision-making, focusing on the interaction between top-down motives (e.g., social identity) and bottom-up cues (e.g., reward feedback).
Recent directions include:

Individuals highly invested in their in-group show larger responses in ventral striatum when witnessing an in-group member, rather than an out-group member, win money. Image from Hackel, Zaki, & Van Bavel, 2017.